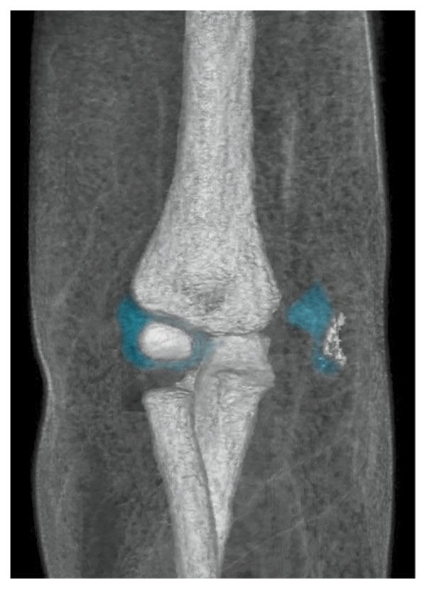
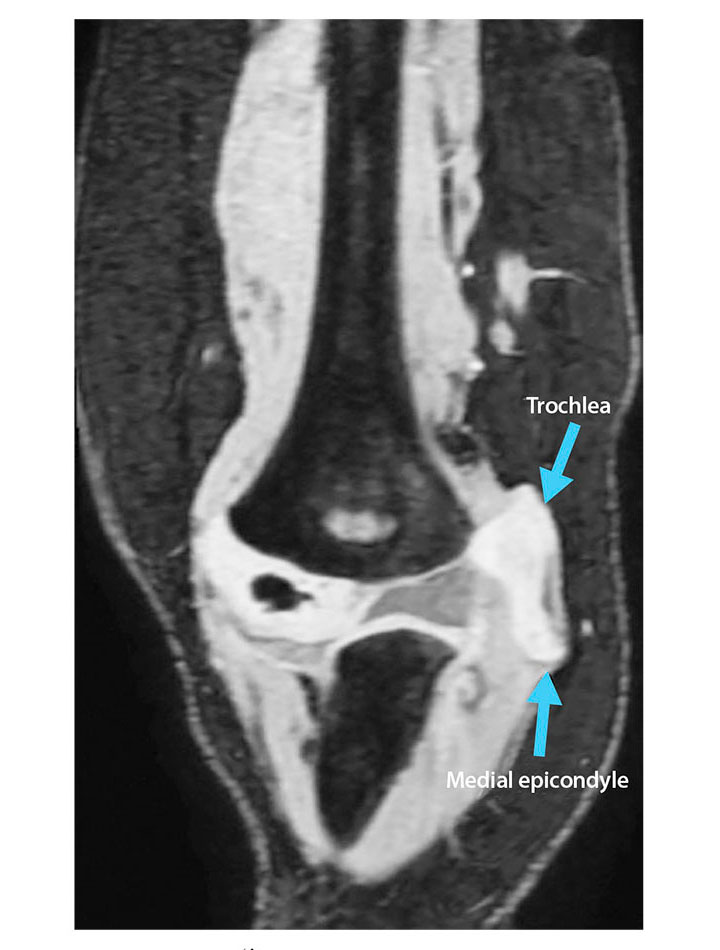
Fractures of the elbow are a common injury in children. Supracondylar humeral fractures are the most prevalent type of elbow fracture, whereas lateral condyle fractures are less common, and medial epicondyle are the least common.1 In children, medial epicondyle ossification occurs between ages 3 and 7 years.2 When a pediatric patient presents with elbow pain and decreased range of motion, a radiographic examination commonly is performed. However, because elbow fractures involving the unossified distal humerus might not be evident using this modality, other imaging examinations, such as magnetic resonance (MR) imaging, should be performed whenever a fracture is suspected. MR imaging can detect bone fractures as well as injury to surrounding anatomy such as cartilage, tendons, and ligaments. This case summary discusses a 2-year-old patient with a fracture of the distal humerus where the unossified cartilaginous trochlear and medial epicondyle fracture fragment was displaced from the joint. (see Figure 1).
Case Description
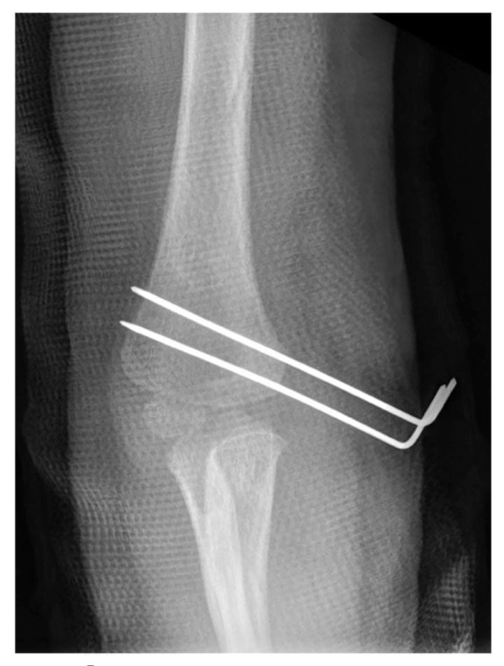
A 2-year-old child presented to the emergency department with right elbow pain after falling off a bench at school. The emergency department physician noted swelling around the medial condyle and decreased range of motion. A radiograph of the injured elbow revealed evidence of soft-tissue swelling but no fracture (see Figure 2). The patient was discharged and instructed to wear a sling for 1 to 2 weeks and to follow up with the orthopedics department.
At a follow-up appointment with the orthopedics department, the patient continued to exhibit pain and swelling in the right elbow, as well as an inability to straighten the elbow and a refusal to use the right arm. A radiograph revealed decreased soft-tissue swelling and a posterior fat pad, not previously observed, that indicated possible joint effusion. The radiograph also revealed a calcification in the area of the swelling (see Figure 2). These findings indicated a possible fracture, and the patient’s right elbow was placed in a cast for 2 weeks.