The aorta, the largest artery in the body, carries blood away from the heart through the chest and abdominal cavities. Because of the aorta’s vital role in the body, problems that affect the artery, such as an aortic dissection, can be catastrophic. An aortic dissection occurs when the inner lining of the aorta tears, causing blood to pool between the inner and middle linings of the vessel. If blood pools between the linings for an extended period, it has the potential to widen the aorta. Dissections occur more often in the thoracic aorta but have been known to occur in the abdominal aorta as well.1 Incidences of aortic dissection range from 5 to 30 cases per million people each year.1Aortic dissections also can cause aneurysms, which might complicate treatment further.
Case Description
A 45-year-old man presented to the emergency department and reported that he started feeling odd at work earlier that day. He described a feeling that his heart was going to come out of his chest, as well as some chest pressure. He also had taken his blood pressure at work at reported that it was high. His co-workers encouraged him to go to the hospital immediately.
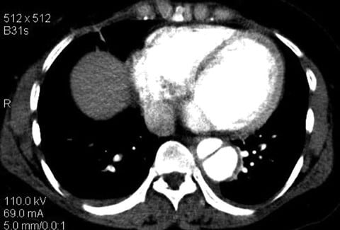
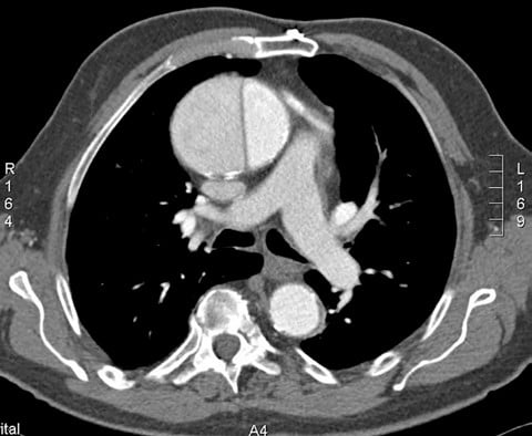
As the patient signed in, the registrar noticed he was sweating profusely, and she reported it to medical staff. The attending physician ordered routine blood work, which included a cardiac panel and a D-dimer test, as well as a computed tomography (CT) angiogram to rule out a pulmonary embolism (PE). The results of the D-dimer test were abnormally high (1500 mg/mL). The CT scan demonstrated a type A aortic dissection that began in the aortic root and extended into the aortic branch. The dissection continued into the descending aorta along the vertebrae. The patient was immediately transferred to another facility to undergo a heart operation.
Classification Systems
Aortic dissections can be classified using 2 systems: Stanford and DeBakey. The Stanford classification system categorizes dissections according to whether they require surgical repair (type A) or can be managed using medications to control blood pressure (type B).1 Type A dissections affect the ascending aorta, whereas type B dissections do not (see Figures 1 and 2).2 The DeBakey system also categorizes dissections by required medical intervention; however, this classification system details the process, or origination, of the dissection and is divided into types I, II, and III. Type I dissections originate in the ascending aorta, likely continue through the aortic arch, and often involve the descending aorta or even the entire aorta.2 Type II dissections affect only the ascending aorta, while type III dissections solely affect the descending aorta (see Box ).2 The most common aortic dissections occur in the descending aorta.3
Aortic dissections are categorized not only by location, but also by the time of onset. Acute onset is the 14-day period after onset has been designated because morbidity and mortality rates are highest and surviving patients typically stabilize during this time.4 The sooner a patient’s condition can be diagnosed and treated, the better his or her chances of survival.